Workshop am Humanpräparat
Ort: FUNDAMENTAL Remscheid (Fr.) | ProSympos Essen (Sa.)
Dauer: Fr.- Sa. jeweils 09:00-17:00 Uhr
Expertin: Dr. Amely Hartmann
BZÄK/DGZMK: 18 Fortbildungspunkte
1.999,00 €
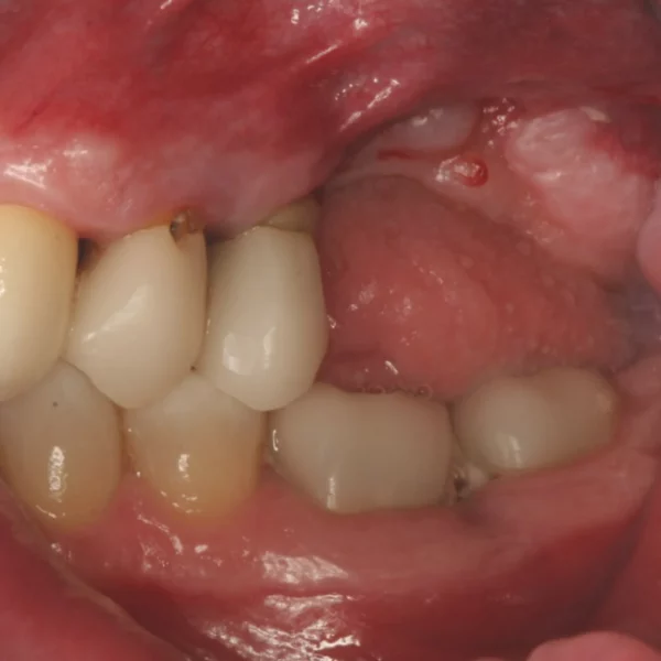
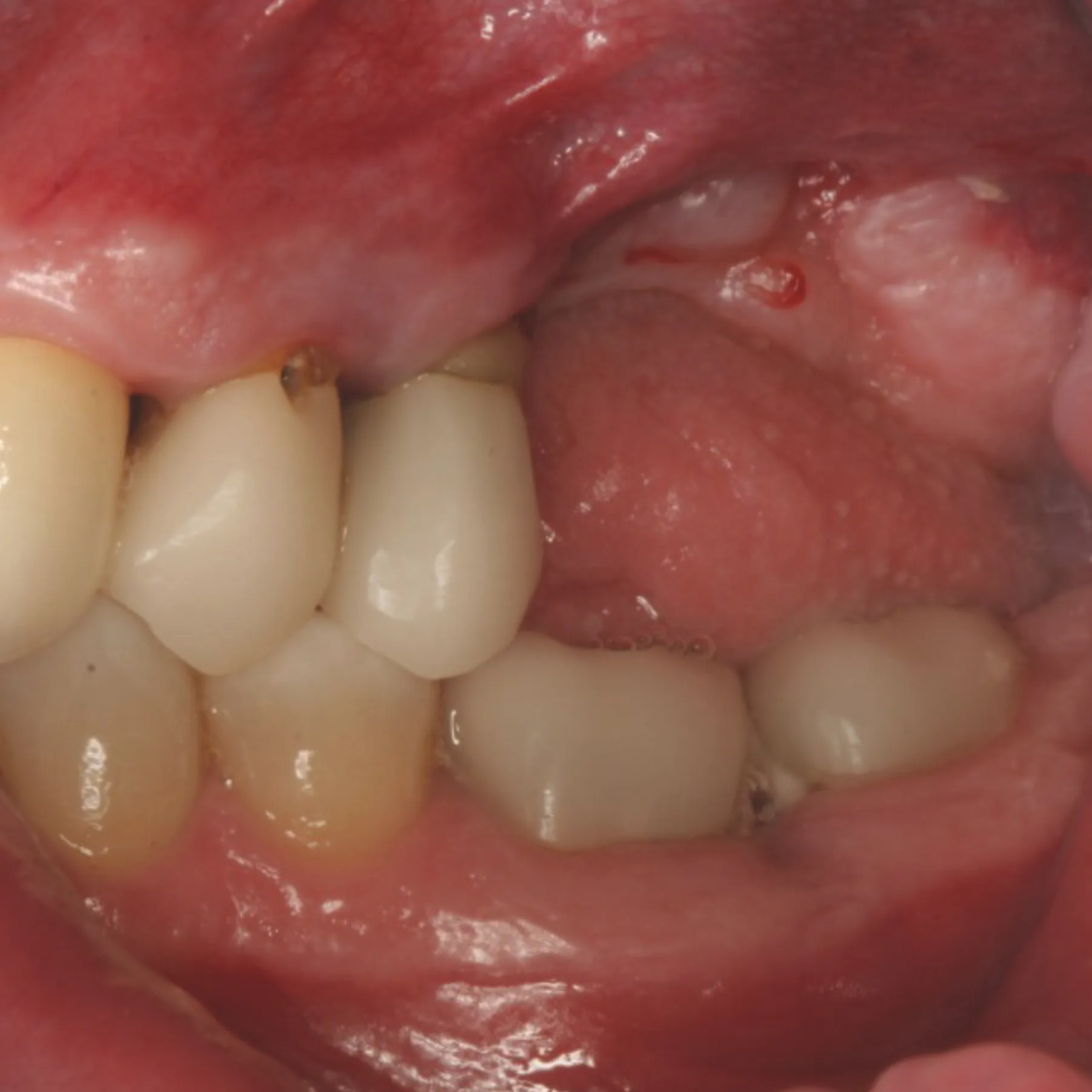
Der funktionelle und ästhetische Langzeiterfolg von Implantaten ist von einem ausreichenden Knochenlager bei Implantation abhängig. Du hast die Basiskenntnisse in der Implantologie erlernt und kommst aber immer wieder an Fälle, die dir zu komplex erscheinen? Dieser OP-Kurs vermittelt dir das Know-how zu augmentativen Techniken, um defektabhängig therapieren zu können. Praktisch können erlernte Techniken am Humanpräparat umgesetzt werden.
• Begrüßung und Einführung
• Wiederholung Implantatinsertion (einzeitig/zweizeitig)
• Zahn entfernt – was nun? Socket-/Ridge-Preservation
• Sinuslift extern/intern
• Prinzipien der Guided Bone Regeneration
• Kleinere Defekte (GBR/GTR)
• Mittlere Defekte (Schirmschrauben)
• Große/komplexe Defekte (Schalentechniken, Blöcke)
• Digitale Planungen komplexer Defekte (patientenspezifische Titangitter)
• Wachstumsfaktoren (PRGF, I-PRF, A-PRF)
• Weichgewebsmanagement
Zahnärzte/innen



Sie sehen gerade einen Platzhalterinhalt von Vimeo. Um auf den eigentlichen Inhalt zuzugreifen, klicken Sie auf die Schaltfläche unten. Bitte beachten Sie, dass dabei Daten an Drittanbieter weitergegeben werden.
Mehr InformationenSie sehen gerade einen Platzhalterinhalt von YouTube. Um auf den eigentlichen Inhalt zuzugreifen, klicken Sie auf die Schaltfläche unten. Bitte beachten Sie, dass dabei Daten an Drittanbieter weitergegeben werden.
Mehr InformationenSie müssen den Inhalt von reCAPTCHA laden, um das Formular abzuschicken. Bitte beachten Sie, dass dabei Daten mit Drittanbietern ausgetauscht werden.
Mehr InformationenSie sehen gerade einen Platzhalterinhalt von Facebook. Um auf den eigentlichen Inhalt zuzugreifen, klicken Sie auf die Schaltfläche unten. Bitte beachten Sie, dass dabei Daten an Drittanbieter weitergegeben werden.
Mehr Informationen